| 眼袋手術 眼袋形成的原因是隨著年齡的增長,因為生活不正常、睡眠不足、長期的吸煙或飲酒過量,加速身體的老化,自然也就提早生出眼袋。明顯的眼袋會讓人看起來很憔悴、兩眼無神、老氣橫秋比實際年齡老上好幾歲。 手術方法有二種開刀方式:
 
                                                外開式---從下眼線下方1cm處切開,再分開眼輪肌,把突出的脂肪去除,再把多餘且鬆弛的皮膚切除作修正,但千萬不可要求完美與貪心想要多切鬆弛的皮,而造成下眼瞼的外翻,此點非常重要。此外開式的優點是可以藉此手術切除鬆弛也多餘的皮膚,作一眼袋的小拉皮。其缺點是疤痕的消除約需1~2個月,才能完全消除,術後可藉由去疤膏或注射美白針來縮短恢復期。 內開式---從結膜內部做約1.5cm切口,把眼袋脂肪去除,臉部無切口且無疤,復原期短,但此手術方式較適合年輕人,下眼瞼的眼輪肌與皮膚都沒有鬆弛的問題。所以年紀大或皮膚鬆弛的人並不適用此手術方式。  術後應注意事項:
                                                 
                                                    需禁食至拆線(以下食物需禁食到拆完線才可食用)
 
                                                            
                                                                | 水產類 | 蛋類  | 乳類  | 咖啡  | 辣椒  | 酒類  |  
                                                                | 番茄  | 芒果  | 芋頭  | 豆類  | 筍類  | 茄子類  |  
                                                                | 柿子  | 草莓  | 鳳梨  | 南瓜(金瓜) |   | 傷口上的紗布,於24小時後自行拿掉即可。 術後需多休息,頭2天不可用太多眼力:如看電視、打電腦、看書。 頭2天請在傷口處冰敷,第3天起不需冰敷或熱敷,否則不會消腫。 傷口處不可碰水,臉部其他部位可用毛巾清擦拭。 傷口需滿7天才可拆線,只可延後不可提前。 不可戴隱形眼鏡,至拆線後1個星期。   眼袋內開手術 (經結膜下眼袋手術)  
                                                    
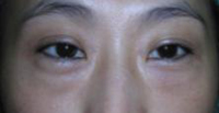
                                                        |  |  |  
                                                        | 眼袋內開手術前(正面) | 眼袋內開手術後(正面) |  
                                                        |  |  |  
                                                        | 眼袋內開手術前(側面) | 眼袋內開手術後(側面) |  
                                                        |  |  |  
                                                        | 眼袋內開手術前 | 眼袋內開手術後 |  
                                                        | 隱藏式的傷口,恢復期短,適合在年紀輕眼皮沒有鬆弛的病人 |  
                                                        |  |  |  
                                                        | 眼袋內開手術前 | 眼袋內開手術後 |  
                                                        | 保留年輕人的 ” 臥蠶 ” , 眼神不會顯得疲憊。  |  
                                                        |  |  |  
                                                        | 眼袋內開手術前 | 眼袋內開手術後 |  
                                                        | 年紀稍長的人,比較容易出現術後的細紋,術前要先溝通。  |  
                                                        |  |  |    TOP |